La expansión palatina asistida por microtornillos (MARPE) se ha convertido en una de las herramientas más potentes para corregir discrepancias esqueléticas transversales en adolescentes tardíos y adultos jóvenes.
En una época en la que la estética y la comodidad impulsan a muchos pacientes a elegir alineadores, la posibilidad de combinar ambos tratamientos ha abierto un escenario terapéutico muy atractivo. Pero para que MARPE funcione de forma predecible —y para que posteriormente los alineadores actúen sobre una base esquelética correctamente desarrollada— es imprescindible establecer un diagnóstico sólido y una planificación extremadamente precisa. Es aquí donde la tecnología digital y el CBCT se vuelven fundamentales.
Ideas clave (en 30 segundos)
- Diagnóstico tridimensional con CBCT antes de decidir MARPE.
- Estadio de maduración sutural = probabilidad de éxito y tipo de respuesta.
- Planificación digital: integración CBCT + escaneado intraoral (STL).
- Bicorticalidad y selección de microtornillos = decisión biomecánica crítica.
- Secuencia lógica: expansión primero, consolidación, nuevo escaneo y alineadores.
Diagnóstico con CBCT: anatomía palatina y maduración de la sutura
El CBCT permite observar la anatomía palatina como nunca antes: desde el espesor óseo disponible para los microtornillos hasta la morfología tridimensional de la sutura palatina media.

Su análisis es clave porque la respuesta del hueso depende de su estadio de maduración, siendo los estadios A, B y C los más favorables porque la sutura aún presenta elasticidad y permeabilidad.
Su análisis es clave porque la respuesta del hueso depende de su estadio de maduración, siendo los estadios A, B y C los más favorables porque la sutura aún presenta elasticidad y permeabilidad.
En el estadio D existe fusión parcial, generalmente en la zona posterior.
MARPE puede funcionar, pero la apertura puede ser asimétrica, más limitada o requerir fuerzas mayores. El estadio E la sutura está prácticamente fusionada. Aquí MARPE tiene muchas probabilidades de fracasar, o de generar una expansión muy dentoalveolar con inclinación posterior. Se debe valorar SARPE, osteotomías o estrategias alternativas.
Planificación digital: integración CBCT + STL para ubicar el MARPE con precisión
Una vez realizado el diagnóstico pasamos a la planificación donde el CBCT se integra con el escaneado intraoral mediante un archivo STL, creando un modelo digital completo en el que se planifica la trayectoria y ubicación ideal del MARPE.
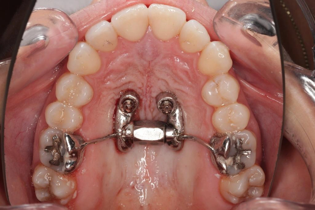
Microtornillos y bicorticalidad: decisión biomecánica (no estética)
La elección de los microtornillos juega un papel determinante en el éxito del MARPE. Habitualmente se emplean diámetros iguales o superiores a 1.6 mm y longitudes que faciliten alcanzar la bicorticalidad (12-16mm) que implica atravesar ambas corticales para lograr estabilidad primaria elevada, algo especialmente relevante en pacientes adultos, donde la resistencia ósea aumenta. La bicorticalidad reduce el riesgo de aflojamiento, distribuye mejor las cargas y mejora la predictibilidad de la apertura sutural. Por ello, seleccionar el microtornillo adecuado no es una cuestión estética del dispositivo, sino una decisión biomecánica crítica basada en las mediciones realizadas en el CBCT.
MARPE + alineadores: secuencia clínica y puntos de control
Cuando se combinan MARPE y alineadores, la secuencia y la biomecánica adquieren un valor especial. La expansión esqueletal debe realizarse primero, permitiendo confirmar la apertura sutural y dejando un periodo inicial de consolidación ósea. Tras esta fase, se debe realizar un nuevo escaneado para que el diseño de los alineadores refleje fielmente la nueva forma del paladar y garantice una planificación precisa. También es necesario vigilar movimientos compensatorios, controlar torques posteriores y prever ajustes que mantengan la estabilidad a largo plazo.
Conclusión: el enfoque combinado que define la ortodoncia moderna
El resultado de integrar MARPE con alineadores puede ser extraordinario cuando se respeta esta lógica: diagnóstico tridimensional, planificación digital precisa, anclaje estable gracias a la bicorticalidad, comprensión real del estadio sutural y un uso inteligente de los alineadores que no solo alinean, sino que perfeccionan el resultado después de haber modificado la base esquelética. Ese enfoque combinado, técnico y estético a la vez, es el que está definiendo la ortodoncia moderna.
Referencias:
- Labunet A, et al. Miniscrew-Assisted Rapid Palatal Expansion: A Scoping Review. J Clin Med. 2024.
- Chun JH, et al. Prospective randomized clinical trial with low-dose CBCT comparing RPE and MARPE. 2022.
- Siddhisaributr P, et al. Effectiveness of MARPE in late adolescents and adults: CBCT study. 2022.
- Festa F, et al. Midpalatal Suture Maturation and Facial Skeletal Patterns: CBCT Study. Children. 2024.
- Ventura V, et al. Miniscrew-Assisted Rapid Palatal Expansion: Umbrella Review. 2022.
- Thuy PTH, et al. Clinical and CBCT outcomes of MARPE in late adolescents and young adults. 2025.
- Inchingolo AM, et al. Predictability of Dental Distalization with Clear Aligners. 2023.
- Zhang Y, et al. Upper arch expansion with clear aligners: effects on inclination and arch form. 2023.
- Krijt LL, et al. Impact of MARPE on midfacial soft tissues and skeletal effects. Clin Oral Investig. 2023.

